

2021.05.01

※※※※※
この記事は歯科医師向け内容です。
※※※※※
医療法人社団ありせファミリー歯科 院長ブログにようこそ。
「出来るだけ歯を抜かない」「出来るだけ歯の神経を残す」
そのためには、何が必要なのでしょうか。
今回は、ありせファミリー歯科で実際に行った根管治療(歯の神経の治療)の11年経過症例をご紹介します。
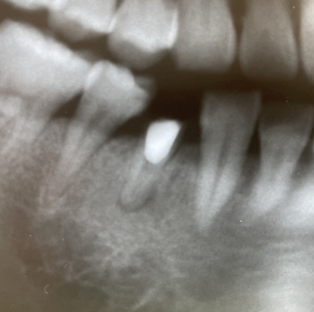
初診時、
主訴【右下の歯が痛くて他院を受診したが、
痛みが治らず、痛み止めをのんでも効かない】
下が初診時のエックス線写真です。
↓↓↓↓↓↓↓↓↓↓↓↓↓↓↓↓

当日は、右下4根管内から排膿させ、症状軽減。
激しい急性症状、骨縁下カリエス、短い歯根長、
非常に厳しい条件のなかでの治療開始となりましたが、
根管拡大は#80でキレイになり、打診痛も消えました。
予後不安あることを説明した上で、
患者ご本人さまの希望により、HJK補綴を行いました。
(当時、CADCAM冠は保険適応外でした。)
下は、術後6年経過後のエックス線写真です。
↓↓↓↓↓↓↓↓↓↓↓

右下4は経過良好ですが、
右上4に遠心c認められます。
直覆してメタルインレー修復行いました。
咬合面遠心窩洞にできたため、
審美的にはご本人さまは満足されています。
下の写真は、初診時から11年経過後のエックス線写真です。
↓↓↓↓↓↓↓↓↓↓↓

今のところ、右下4も、右上4も経過良好です。
右下5カリエスは、今後治療予定です。
右下4は、HJKですが、案外長持ちしています。
当時は、まだマイクロスコープはほとんど普及していませんでしたが、
基本さえおさえていれば、予後に不安があっても、
十分に長持ちさせられます。
右上4に関しては、歯髄神経保護のセメントの種類は、
光重合型アイオノマーを使用しています。
「出来るだけ神経をのこす」
ありせファミリー歯科のこだわりです。
医療法人社団ありせファミリー歯科は、神戸市西区の歯科医院です。
ありせファミリー歯科では、歯科医師を募集しています。
臨床研修終了直後からでも、3年程度で、根管治療はマスターできるプログラムを組みます。
「歯の神経を残す」「出来るだけ歯を抜かない」
ありせファミリー歯科では、そのための具体的な知識やテクニックを学ぶ環境が整っています。
見学のみでも大歓迎です。
お気軽にお問い合わせください。
メールフォーム
↓↓↓↓↓↓↓
http://arise-dental.com/contact.html
2089