

2021.05.04

医療法人社団ありせファミリー歯科 院長ブログにようこそ。
今回は、乳歯抜歯してから、永久歯が生えるまでの1年間の経過を、エックス線写真を見ながらご説明します。
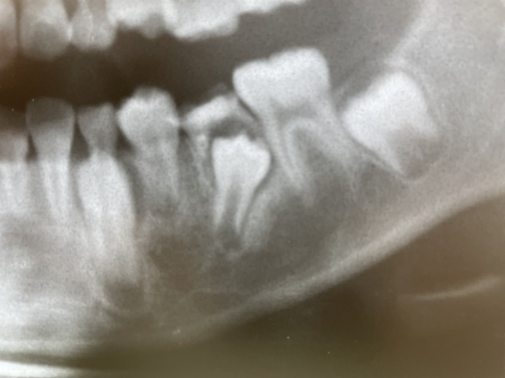
下のエックス線写真は、9才10ヶ月のものです。
↓↓↓↓↓↓↓↓↓

左下Eは、口腔内では、レジン修復済みに見えるのですが、
エックス線写真では、すでに左下5の萌出を妨げていることが確認できます。
早めに抜歯したほうがリスクは低いのですが、
このくらいの年齢になると、乳歯抜歯には、
保護者の方だけでなく、ご本人さまの納得と理解も必要です。
大人の歯が健康的にはえるためには、乳歯の抜歯が必要であることを、保護者の方にもご本人さまにも、丁寧に説明することが望ましいです。
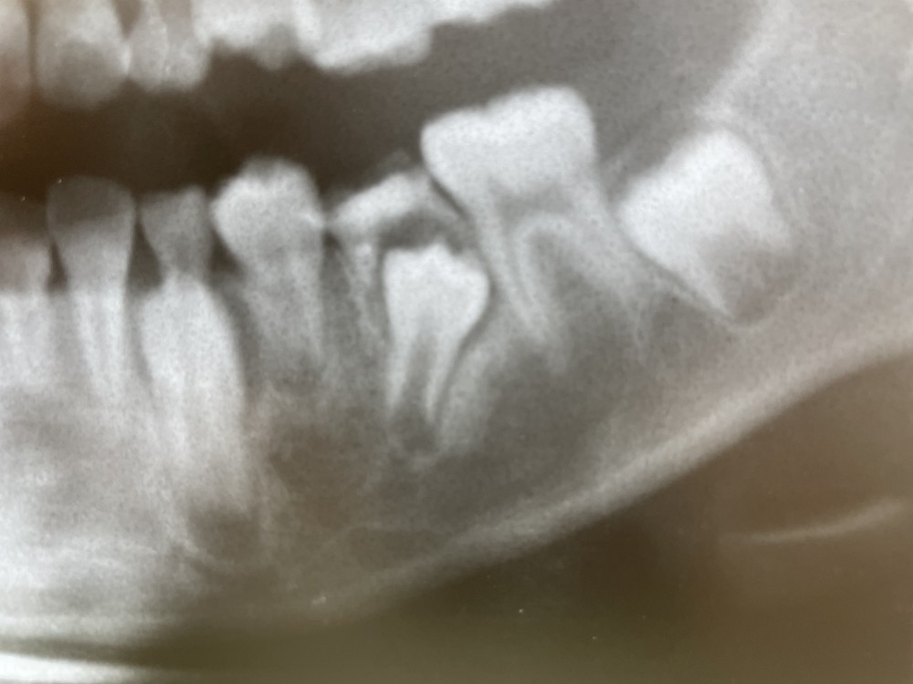
下が抜歯から1年後、10才10ヶ月のエックス線写真です。
↓↓↓↓

左下5の萌出が確認できます。