

2021.05.08

医療法人ありせファミリー歯科ブログにようこそ。
ありせファミリー歯科は、神戸市西区の歯科医院です。
今回は、ありせファミリー歯科で行ったホームホワイトニングの実例をご紹介します。
「ホームホワイトニング」とは、
歯科医院で、歯形の印象を採得(さいとく)し、専用のマウストレーを作成する方法です。
印象を採得したら、後日、改めて歯科医院を受診して、マウストレーを受け取り、使用法の説明を受けます。
通院は合計2回で終了です。
その後、ご自宅で、ご自分で行っていただきます。
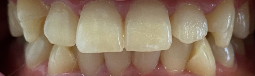
次の4枚の写真は、19才男性の方です。
『開始前』
『1日目』
『1週間後』
『2週間後』
の順番に並べています。
[ホームホワイトニング開始前]

[1日目]

[1週間後]

[2週間後]

保険適応外治療になります。
料金は【税込3万3千円〜】
ご興味のある方はお気軽にご相談ください。