

2023.03.06

医療法人社団ありせファミリー歯科ブログにようこそ。
院長の同前です。今回は、症例紹介です。
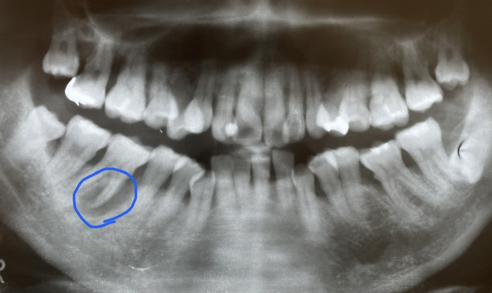
下のエックス線写真は、初診時のものです。右下奥歯の歯茎の激しい腫れと痛みを訴え、救急相談ダイヤルから当院を紹介された患者さまです。

青い線で囲んだ部分に、歯周病による歯槽骨の吸収が起きています。
上行性歯髄炎という激しい痛みを伴う状態でした。
通常であれば抜歯か、もしくは歯根分割して近心根を部分抜歯し、その後にブリッジを行うのが妥当とされる状態です。
当院で実際に行った治療法をご紹介します。
まず、歯根分割して、近心根のみ抜歯し、遠心根の根管治療を行いました。
根管治療終了後に、単冠での補填を行いました。
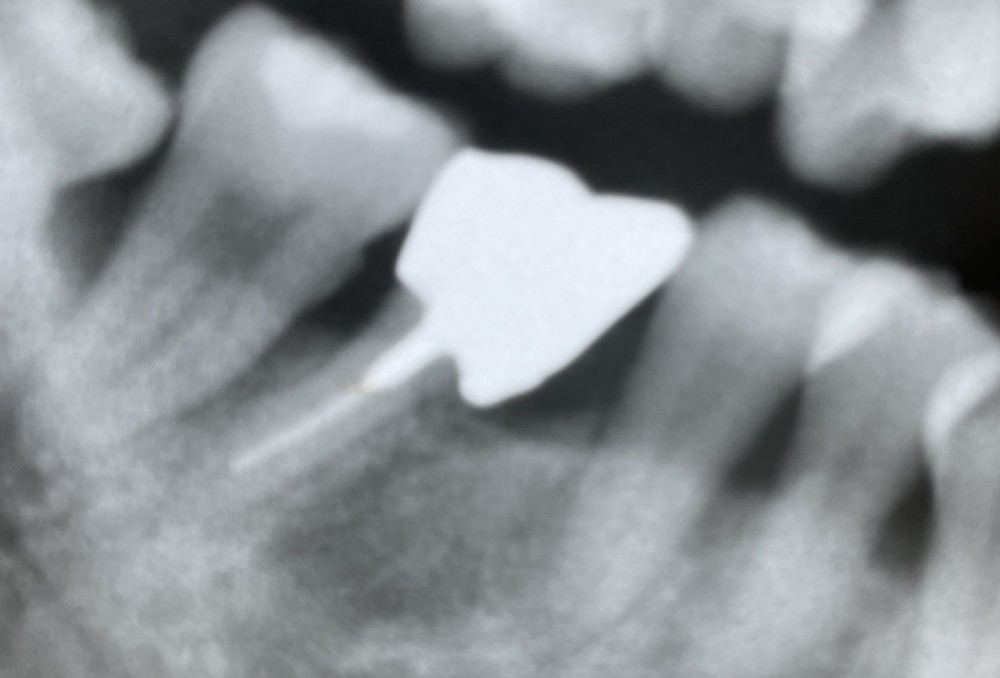
その後、1年経過したエックス線写真がこちらです。

第二小臼歯の遠心に干渉させずにコンタクトポイントをつくるのに工夫が必要でした。
結局、クラウンの近心マージンを意図的にオーバーにすることで近心のコンタクトポイントを作りました。患者さまはセルフケアを大変頑張ってくださっており、プラークコントロールは良好で、歯肉の状態は安定しています。
よく見ても、何が起きているか分かりにくいと思います。
2つの写真をもう一度並べてみます。
術前

術後1年後

以上、歯根分割したのちの、単冠補填の症例でした。