

2020.06.13

※※※この記事は歯科医師向けです※※※
他院からの紹介も随時受け付けしています。
今回は、神戸市中央区の自費専門の歯科医院様からの紹介頂いたケースをご紹介します。
こちらは実物の紹介状です。

患者さまによると、歯列矯正の費用は前払いで、すでに全額支払い済みだということでした。
6カ所のカリエス処置依頼、内2本は根尖病巣の疑われる根管治療です。
紹介もとの先生はどのくらいの期間を想定されているのかは、
文面からはうかがえません。
なかなかハードなオーダーですが、頼って頂いた以上は、我々は最善を尽くすのみです。

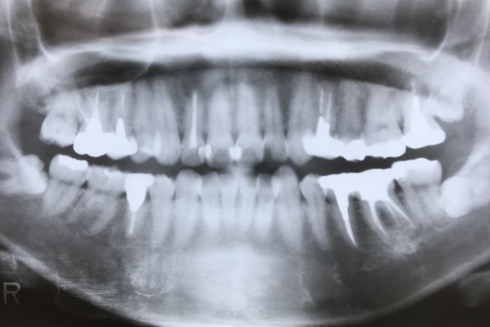
こちらが術前のパノラマ写真です。
通院回数15回、通院期間3か月で、
依頼の部位は完了しました。
それが下のパノラマです。

右上2の根尖病巣は、縮小するとしても数年がかりになると予想されますので、今後の矯正治療においては配慮していただくように、
紹介元にはお願いしました。

どうか、歯列矯正が上手くいきますように。
我々には、あとは祈ることしかできません。