

2020.08.19

「抜かないといけない歯がある」と歯医者さんで言われた場合、抜く時に痛くないだろうか、また、抜いた後どうなるのかなどが心配になると思います。
「抜く時に痛くないかどうか」
まずは抜歯の時の痛みですが、
激しい痛みが出ている状態では、麻酔が大変効きにくくなっています。
専門的な知識になりますが、炎症部位ではpHが酸性になるため、アルカリ性である局所麻酔薬は中和されて、効き目が本来の2割程度まで落ちると考えられています。
炎症が落ち着いていれば、麻酔は良く効くので、あまり痛みを感じることなく抜歯できます。
まずは痛みを和らげてから、抜く計画を立てたのであれば、抜歯時には麻酔は効くと考えられますので、痛みも余り感じなくて済むと思います。
「歯を抜いた後はどうなるの」
歯を抜いた後の選択肢としては、次の4つが考えられます。
①ブリッジ
②義歯
③インプラント
④放置(保留、経過観察)

抜く本数や部位によって、また、なぜ抜く必要が生じたのかによっては、組み合わせは無数に存在するため、
いざ読者の方が歯を抜く必要が有る場合には、まずは、
かかりつけの歯医者さんに相談することをお勧めします。
とは言うものの、歯医者さんでどんなふうに治療計画を立てるのか知りたい方のために、
今回は右上第一小臼歯を抜歯する場合を例に、
ご説明したいと思います。
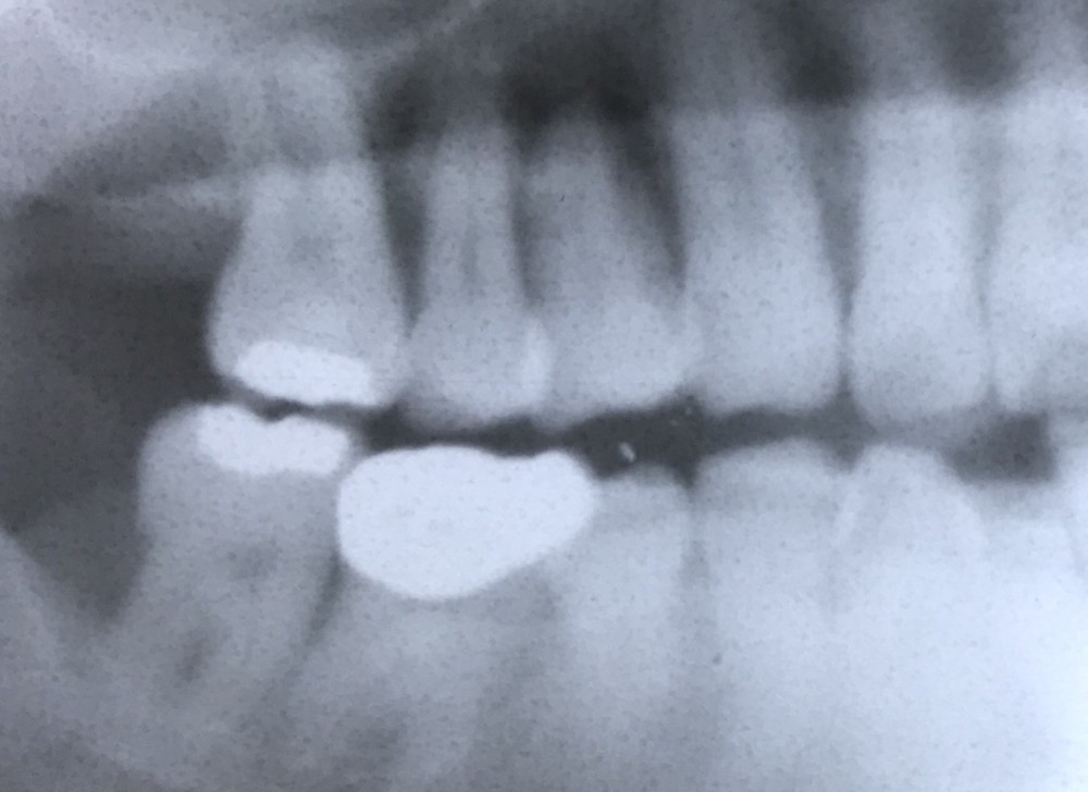
まずは下のレントゲン写真をご覧ください。

この方は、右上の後ろから3番目の歯がかなりグラグラしています。
(画面では左上の後ろから3番目の歯です。レントゲン写真では、鏡とは向きが左右逆になります)
歯根周囲の歯槽骨が吸収したことが原因で、
物を噛み締めることが困難な状態になっています。
あと数ヶ月で自然に抜ける可能性が高いと予想されます。
もしも抜いた場合、もしくは自然に抜けてしまった場合、どのような治療法があるのでしょうか。
①ブリッジ
欠損した歯の前後の歯を、台形の形に削り、
3本連結の人工の歯を接着剤で固定する治療法です。
保険で治療する場合、部位によって人工歯の歯の色は銀色だったり、白色だったりしますが、
今回は、正面から見える部分は手前の2本が白色、後ろの1本が銀色になります。
上下の歯が噛み合う面(咬合面 こうごうめん)は、銀色です。
3割負担の方だと、型取りと取り付けで合計2〜3万円程度の自己負担金になります。
公費の方は、定められた金額です。
今回のケースでは、神経のある歯を支台にするため、治療後に一時的に冷たいものがしみやすくなります。
ほとんどの方は数日から数週間で改善しますが、まれにしみるのが悪化する場合があります。
その場合は、改めて歯の神経の治療が必要になるため、追加で通院が必要になることがあります。
歯の色が、本当の歯とそっくりにしたい場合、
保険外治療になりますが、
セラミックのブリッジにする方法があります。
美しさでは、皆さん満足されますが、大変に高額で、一本につき9万円程度かかります。
今回のケースでは、3本の扱いになるため、
セラミックにした場合、30万円近い費用が必要です。
噛み心地やブリッジの耐久性には、それほど保険との差はありません。
メリットは、外さなくて良いので、毎日の手入れが楽な事です。
デメリットは、歯を一定量削る必要があることです。
②義歯(入れ歯)
着脱式の歯です。
ワイヤー状の留め金を残存歯に引っかけて固定します。
固定に利用する歯に金属製のツメを引っかけるため、1〜2ミリ程度の溝を削って彫ります。
肉眼ではわかりにくい程度にしか削らないので、また、夜間は外していただくので、ブリッジよりは歯には負担は少ないと言えます。
治療費も3割負担の場合で5000円から1万円程度で、ブリッジよりは安く治療できます。
メリットとしては、完成までたった2回の通院回数で、しかも1回あたりの所要時間が15分程度。麻酔も使いません。
調整は基本的に口の外で行うため、術後の治療も比較的楽に進めることが可能です。
デメリットは、毎回食事のたびに外して洗う必要があります。
③インプラント

大変高額な治療法です。
保険適応外のため、一本あたり30万円程度必要です。
インプラントについては、また改めて別の項目でいずれ詳しく記事にします。
④放置(保留、経過観察)
すぐに治療開始するのではなく、
抜歯した後にしばらくゆっくり考えて決める。
そんな選択肢もあります。
前歯は人から見えるために、抜いたり抜けたりしたら、すぐに歯を作りたい、
そう考える方が多いです。
奥歯は抜けても前歯よりは目立たないため、
自分で気にならないなら、すぐに歯を作らずに、ゆっくり考えて決める方も案外多いです。
「抜けてから新しい歯ができるまではどうなるの?」
抜けてから新しい歯を作って装着するまで、
数週間から数ヶ月かかります。
前歯を抜く計画の場合には、原則として仮の歯を作る計画を立てます。
仮の歯は一見すると歯に見える作りになっていますが、硬いものを噛むと外れたり壊れたりする不安があります。短期間の使用を前提としており、見た目重視の作りになっているため、強度がそれほどありません。
仮の歯が脱離したら、かかりつけ医を受診する必要があります。しかし、読者の方がすぐに歯科を受診する時間が取れるとも限りませんし、かかりつけ医が診察時間中かどうか、たまたま歯科医院が混雑する時間帯かどうかで、待ち時間が生じる場合もあります。
そのため、仮の歯を装着する期間が可能な限り短期間になるように治療計画を立てます。
一本の歯が欠損した場合、ブリッジ前提の仮の歯は、あらかじめ前後2本の歯を削ることになります。
そのため、仮の歯が脱落すると、3本の歯が欠損したような見栄えになってしまいます。
可能であれば、仮の歯でいる状態は短期間にとどめたいところです。
今回は臼歯部なので、抜いた後はしばらく仮の歯を入れない場合が多いです。
以上、ご参考にしていただければ嬉しく思います。

神戸市西区の年中無休夜9時まで診察(受付は20時30分まで)の歯医者、ありせファミリー歯科のブログへようこそ。
ありせファミリー歯科では、勤務していただける歯科医師を募集しています。
ご興味のある方はお気軽にご相談下さい。