

2021.05.26

医療法人社団ありせファミリー歯科ブログにようこそ。
ありせファミリー歯科は、神戸市西区の年中無休の歯科医院です。
今回は、当院の根管治療(こんかんちりょう)をご紹介します。
虫歯が進行すると、歯の神経に虫歯菌が入り込みます。
その場合、治療として、歯の内部を消毒して、お薬を入れる治療を行います。これを根管治療(こんかんちりょう)、または歯内療法(しないりょうほう)と言います。
良心的な歯医者かどうか、また真面目な歯医者かどうかは、この根管治療を見れば、だいたい判断できます。
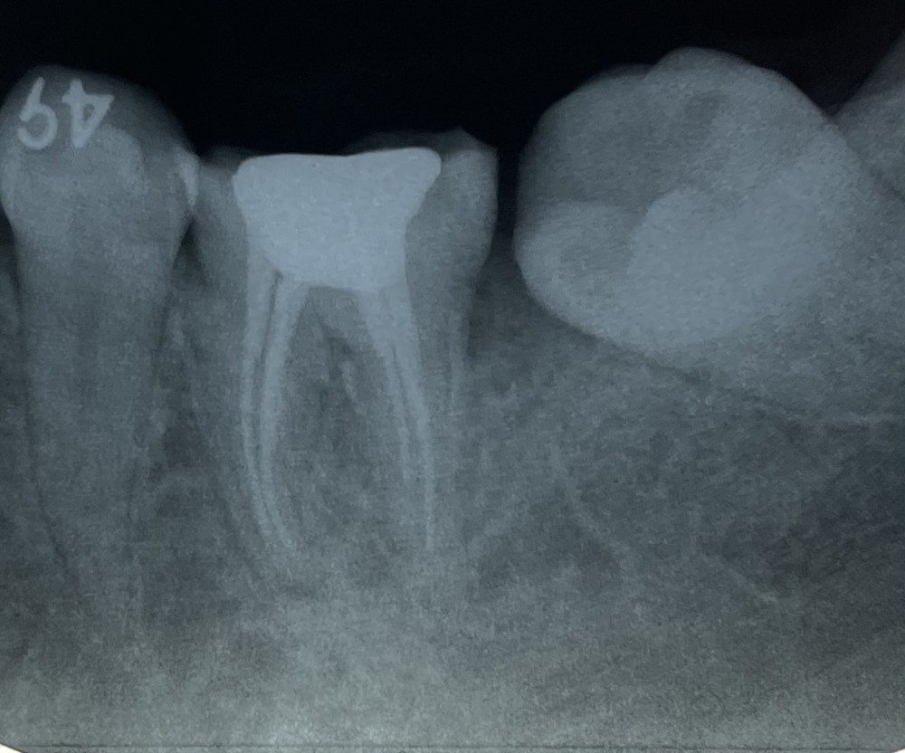
根管治療を見るのは、術後のエックス線写真を用います。
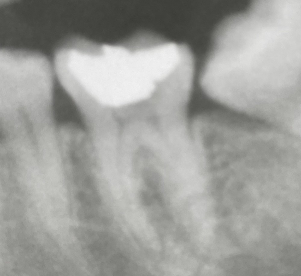
治療が上手くいったかどうかは、根尖(こんせん)近くまで、エックス線に白く造影するお薬が綺麗に入っているかどうかで判断します。
まれに、難治性(なんちせい)と言われる、治療の難しい歯が存在します。
たとえば、特殊な形態をした歯や、根管が湾曲したり狭窄したりしている歯、また、一度根管治療を行った歯の再治療などで見られます。
今回は、修復象牙質の添加(しゅうふくぞうげしつのてんか)による、遠心根の根管狭窄および、近心根管の湾曲の見られる歯の治療を紹介します。

上のエックス線写真で、真ん中に写っている歯には白く見える金属製の修復物が見られます。
修復物の下に虫歯ができてしまい、再治療する必要が生じました。
根管の狭窄と湾曲が認められます。
注意するのは、根管治療に使う器具であるKファイルに無理な力をかけないように作業することです。
この、「無理な力をかけない」ということが、言葉や文章では上手く伝わらない部分です。
若手のドクターが最も悩む部分でありますが、当院ありせファミリー歯科で勤務する先生には、懇切丁寧に指導させて頂きます。そして、確実にマスターすることができます。
下が、根管充填の術後のエックス線写真です。

ご覧の通り、4根管あります。
根管治療は、毎日毎日繰り返し、私たち歯科医師がたずさわる業務の一つです。「上達したい」と強く思いながら毎日取りかかれば、必ず早くきれいに正確に行えるようになります。
初めは時間がかかっても、確実に丁寧に行うことが大切です。
時間さえかければ、きれいな治療が出来るようになることがまず若手のドクターの目標です。
つぎのステップは、スピードのアップです。
患者さまがお口を開ける時間を少しでも短く、来院回数を少しでも少なく、治療費が少しでも少なくできるように、さらなる工夫に終わりはありません。
患者さまに見えない部分かも知れませんが、こうした部分を丁寧に行っていることは、歯科医師としての誇りややりがい、そして仕事の楽しさにつながっていると感じています。
管理番号3206