

2021.05.27

医療法人社団ありせファミリー歯科ブログにようこそ。
ありせファミリー歯科は、神戸市西区の年中無休、夜21時まで診察している歯科医院です。
今回は、上顎第二大臼歯の根管治療について、当院で行っている治療をご紹介します。
根管治療は、機械ではなく、主に指先を使う治療方法であるため、歯科医師の技術に最も差がでる分野です。
特に、奥歯は前歯に比べると指や器具が届きにくく、また見えにくく、歯根の形態も、より複雑になっていきます。
歯科医師が、もしも自分以外の歯科医師の治療技術を調べたいと思ったら、上顎第二大臼歯の根管治療技術を見れば、だいたい判断できます。
それは、特別な機材や器具を使用しているかどうかはあまり関係がありません。
術後のエックス線写真を見て判断出来ます。
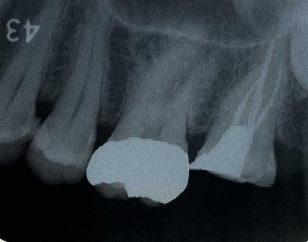
というわけで、今回は、ありせファミリー歯科で実際に行っている根管治療のうち、上顎第二大臼歯のエックス線写真を見ていただきます。

冒頭にあげた写真と同じものです。
右端の歯が上顎第二大臼歯です。
細長い白い棒のように見えるのが、根管治療に使う「ガッタパーチャーポイント」です。
今回では、近心根管と遠心根管に、それぞれガッタパーチャーポイントを試適しています。
2根管とも、根尖まできれいに試適できていることが確認できます。
根管治療の最終段階では、ガッタパーチャーポイントにお薬を塗って、根管内に充填します。
根管充填では、試適した2根管の他に、残りの1根管もガッタパーチャーポイントを入れます。
術後のエックス線写真がこちらです。

根管治療の難易度を決めるのは、
①見えにくい
②器具が入りにくい
③器具が届きにくい
の3つが主なものです。
根管治療は、新人ドクターが、苦手としがちな分野です。
適切な指導を受けなければ、経験年数が増えても苦手なままになってしまいます。
ドクター研修でも、言葉や文章では伝えにくい部分です。
ありせファミリー歯科では、実際の先輩歯科医師の治療を見学したうえで、指先の感覚や、術野の取り方などを詳しく指導しながら、マスターしていただきます。