

2023.06.16

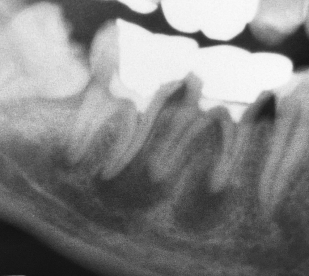
上のエックス線写真は、20代男性、初診時(令和4年12月)のものです。
右下奥歯の痛みを訴え、来院されました。
前医では、おそらく生活歯髄切断という治療を行ったものと推測されます。
下の図の黄緑色の丸いラインで囲まれた部分に、(右下奥歯の歯根の先端部分の歯槽骨内に)炎症が疑われます。

修復物を除去し、歯根内部を洗浄しました。
根管治療を行った後に、クラウン補綴治療を行いました。
そして、当院での治療後、数ヶ月して撮影したエックス線写真がこちらです。(令和5年6月に撮影したものです。)

根管内にお薬が綺麗に充填され、歯根先端の歯槽骨が新しく作られているのが確認できます。
わかりやすく見ていただくために、術前と半年後のエックス線写真2枚を並べてみます。
令和4年12月撮影

令和5年6月撮影(半年後)
