神戸市西区の医療法人 ありせファミリー歯科 院長ブログ
医療法人社団ありせファミリー歯科

2023.06.18

【下顎第二大臼歯】根管治療2年経過

【下顎第二大臼歯】根管治療2年経過

今回もありせファミリー歯科で実際に行った治療をご紹介します。
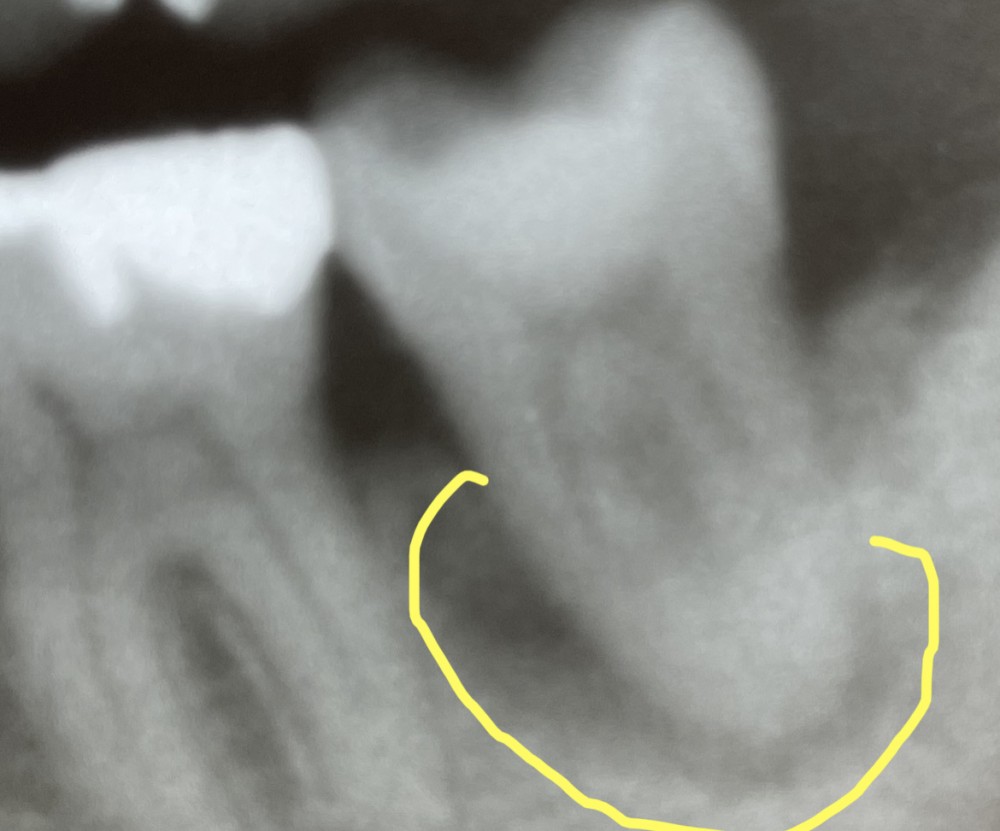
上のエックス線写真では、左下第二大臼歯の周囲の歯槽骨の炎症が疑われます。




下の写真は、上と同じもので、歯槽骨の病巣が疑われる部分を黄色く囲みました。

【下顎第二大臼歯】根管治療2年経過






根管内部を清掃し、根管充填を行いました。その際の確認のエックス線写真がこちらです。↓

【下顎第二大臼歯】根管治療2年経過









その後、2年が経過していますが、今のところ経過良好です。比較しやすいように、術前と2年経過後のエックス線写真をならべました。
↓↓↓↓↓
(術前)

【下顎第二大臼歯】根管治療2年経過


(2年経過後)

【下顎第二大臼歯】根管治療2年経過





ブログ一覧に戻る