

2020.02.07

ありせファミリー歯科ブログにようこそ。
今回も求人ドクター向けの内容です。
乳歯の晩期残存では、自然交換を待つか乳歯抜歯を行うかの判断に迷うケースに遭遇することがあります。
今回の記事では、実際の当院で行った治療をご紹介します。
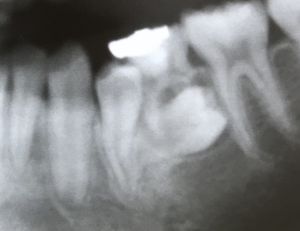
初診時13才0ヶ月、主訴は左下歯茎の腫れ。
下の写真は初診時のものです。

左下E抜歯、その後、残りの3本のEも抜歯しました。
下の写真は、初診時から2年3ヶ月後のもの。
15才3ヶ月です。

左下4に関しては、今のところご希望ないために経過観察中です。
難しいのは、ご本人様や保護者の方への説明とご理解を得ることです。また、抜歯した場合と非抜歯経過観察した場合のそれぞれの予測を立てることも困難です。
今回のケースでは、もともと保護者の方が当院かかりつけの方だったこともあり、早い時点で抜歯の必要性を理解して頂けました。
早期の抜歯を行うことにより、永久歯萌出を誘導できています。