

2020.02.07

ありせファミリー歯科、歯科医師求人ブログにようこそ。
このブログは、ありせファミリー歯科への就職をご検討されている歯科医師の方を対象として、ありせファミリー歯科の治療水準を紹介するための記事を掲載しています。
今回は、ありせファミリー歯科における乳歯抜歯を行なったケースをご紹介します。
初診時17才11ヶ月
主訴、左右下の奥歯に穴があいている。
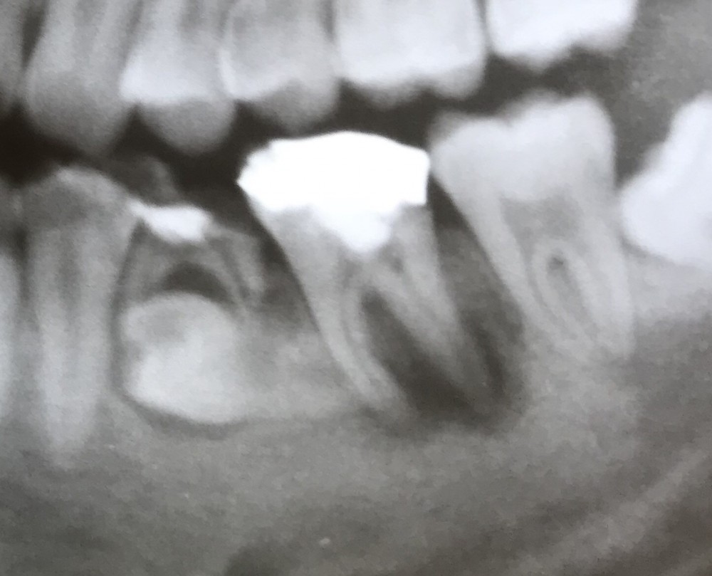
下は初診時の写真です。

下左右6の感染根管、及び左下Eの感染根管が疑われます。
右下6の遠心ポケットは根尖病変と交通。
抜歯の可能性もありますが、年齢を考えると、まずは根管治療を行なって、治癒力に期待したいところです。
実際に当院で行った治療内容は、まず左下E抜歯。
その後左下6根管治療。
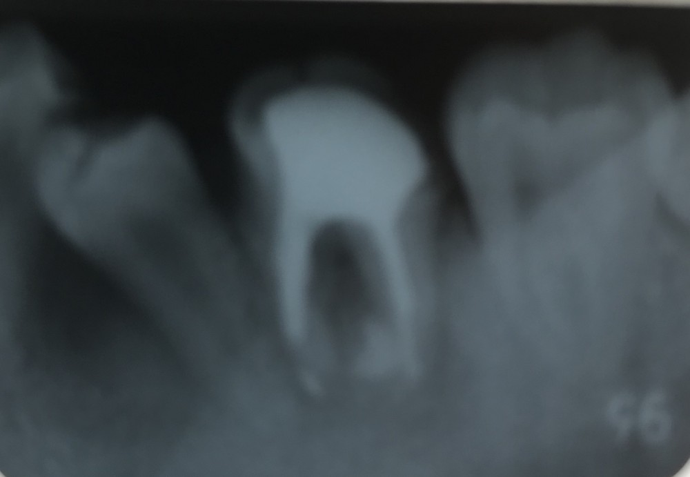
下は左下6根管充填の画像です。初診時から2ヶ月後撮影。
左下E抜歯してから2ヶ月程度経過しているため、左下5の萌出が良好であるのも確認できます。

その後、右下6を根管治療。
下の写真は根管充填後確認のデンタルです。

左右下6をそれぞれメタルコア築造、パラFCKセットしています。
成長期で今後の身長が伸びれば咬合調整が必要だとの説明は必須です。
すべて保険治療。ラバーダムもマイクロスコープも使用していません。
ファイル作業は全て手作業で行いました。
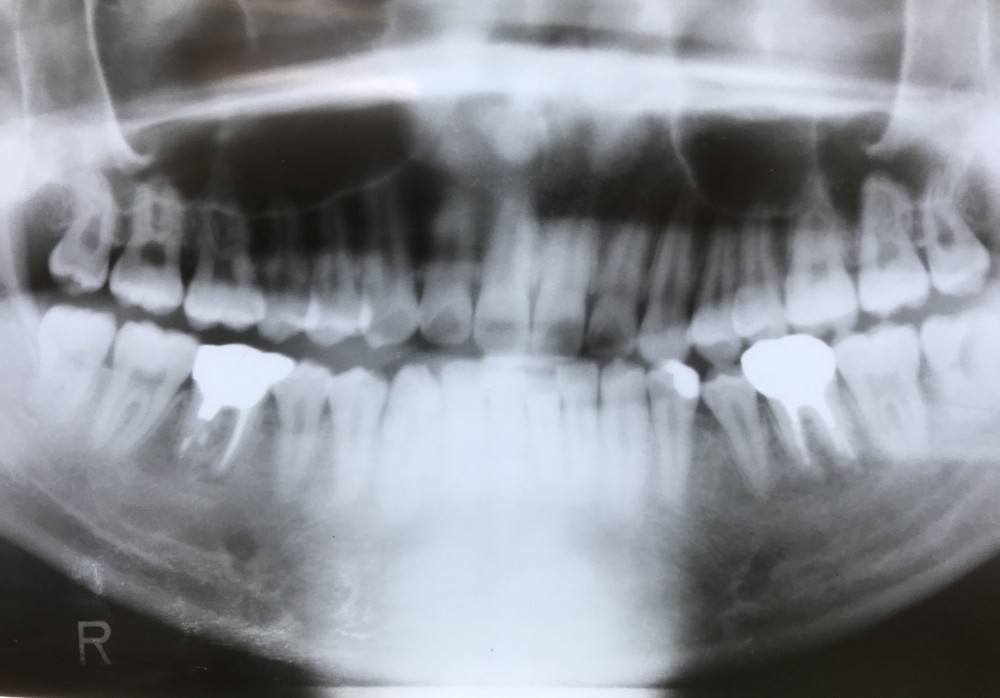
下の写真は初診時から2年8ヶ月後のものです。
20才7ヶ月。

上の画像でも、左下6の咬合がかなり強く当たるように疑われます。
実際に咬合調整を行ないました。
クラウン再作成を推奨する先生もおられるかもしれませんが、治療費や通院回数を少なくする工夫として、まずは調整を当院では第1の選択肢としています。
乳歯抜歯した後、臨在歯の感染根管治療が必要なケースですが、中高生の場合は学業の妨げにならない治療、通院計画が必要になります。
当院は年中無休、夜8時半まで診察受付していることで、少しでも中断リスクが軽減出来ればと考えています。