


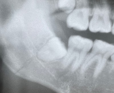
10才で永久歯(6才臼歯)を抜歯した症例の5年経過
2025.06.25 症例紹介

[下顎骨の骨折の3年経過】
2023.11.13 症例紹介

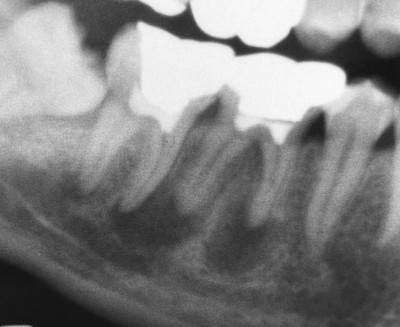
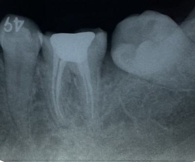
【下顎第二大臼歯】根管治療2年経過
2023.06.18 症例紹介

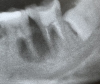
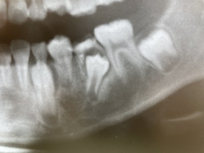
【下顎大臼歯根管治療】
2023.06.16 症例紹介

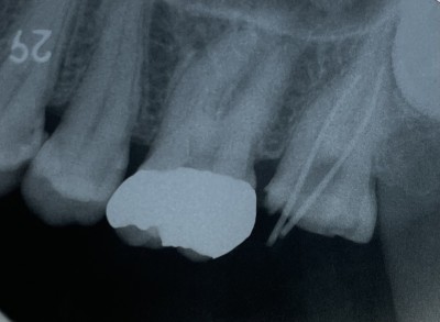
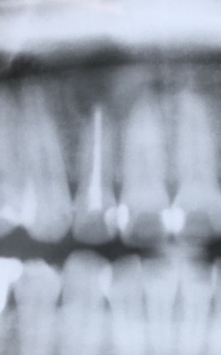
【歯根分割からの単冠補填】
2023.03.06 症例紹介

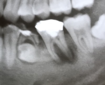
【原因不明の根尖病巣】
2022.10.17 症例紹介

【根管治療】メタルコア除去、感染根管
2022.07.29 症例紹介

症例紹介【破折したファイルの除去】
2021.11.17 症例紹介

根管治療【上顎第二大臼歯】
2021.05.27 症例紹介

根管治療【狭窄根管、湾曲根管】
2021.05.26 症例紹介

【乳歯抜歯のタイミング】
2021.05.04 症例紹介

【根管治療】11年経過症例
2021.05.01 症例紹介

【歯列矯正術前う蝕処置】
2020.06.13 症例紹介

学童【下顎第一大臼歯の抜髄】
2020.06.12 症例紹介

【混合歯列期の床矯正】
2020.03.27 症例紹介

【親知らず】の活用法
2020.02.18 症例紹介

【乳歯抜歯の難しいケース その2】
2020.02.07 症例紹介

【乳歯抜歯の難しいケース その1】
2020.02.07 症例紹介

【歯内療法9年経過症例】
2020.02.06 症例紹介